Un patiente atteinte d’un cancer du poumon voit sa tumeur rétrécir de plus de 70% grâce à une huile de cannabis
Selon un nouveau rapport de cas publié dans le British Medical Journal (BMJ), une patiente qui refusait le traitement conventionnel du cancer du poumon, mais a commencé à prendre de l’huile de cannabis, a vu sa tumeur rétrécir considérablement sur une période de deux ans et demi.
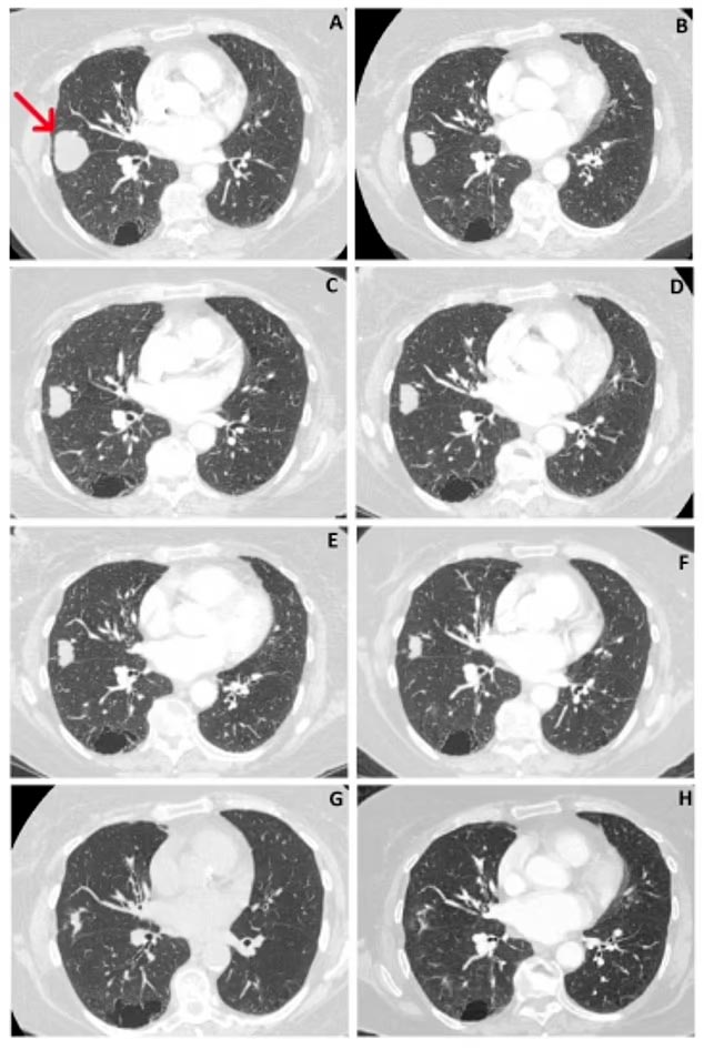
La patiente, âgée de 80 ans, a commencé à s’administrer de l’huile, appelée « huile de CBD » dans le rapport, mais contenant des parts égales de CBD (20,05%), de THCa (23,8%) et de THC (19,5%) deux à trois fois par jour à l’insu de ses médecins.
La tumeur initiale de 41 mm en juin 2018 a été réduite à 10 mm en février 2021, reflétant une réduction globale de 76 % de la taille. Le cas a été porté à l’attention de l’équipe hospitalière de la patiente en février 2019 lorsqu’une IRM a montré une réduction de la taille de la tumeur, alors qu’elle n’avait reçu aucun traitement conventionnel pour son cancer du poumon.
Selon le rapport de cas, Il n’y a eu « aucun autre changement dans les médicaments, le régime alimentaire et le mode de vie qui lui étaient prescrits » et la patiente a continué à fumer « un paquet de cigarettes par semaine » pendant toute cette période.
Les chercheurs ont écrit : « Les études précédentes n’ont pas réussi à s’accorder sur l’utilité des cannabinoïdes comme traitement du cancer. Ce cas semble démontrer un avantage possible de la prise d’huile CBD qui pourrait avoir entraîné la régression tumorale observée. »
Ils ont conclu que le potentiel des cannabinoïdes à être utilisés comme une thérapie alternative ou supplémentaire à côté des traitements conventionnels du cancer tels que la radiothérapie et la chimiothérapie « justifie des recherches supplémentaires ».
« Les traitements anticancéreux existants pourraient avoir des effets secondaires graves, tant sur le plan physique que mental. C’est pourquoi notre patient a décidé d’un auto-traitement non conventionnel », ont-ils ajouté.
« Le nombre limité de rapports de cas semble montrer que [l’huile de cannabis] peut avoir des effets positifs sur la réduction des tumeurs. Des recherches supplémentaires sont nécessaires pour identifier le mécanisme d’action réel, les voies d’administration, les dosages sûrs, ses effets sur différents types de cancer et tout effet secondaire indésirable potentiel lors de l’utilisation de cannabinoïdes ». Le potentiel d’utilisation des cannabinoïdes comme alternative pour augmenter ou remplacer les traitements primaires conventionnels du cancer justifie certainement la poursuite des recherches. »
La patiente a déclaré être « aux anges » avec les résultats et a l’intention de continuer à prendre l’huile « indéfiniment ».
Elle a fait le commentaire suivant : « Je n’étais pas très intéressée par les traitements anticancéreux traditionnels car j’étais inquiète des risques de la chirurgie et j’ai vu mon défunt mari souffrir des effets secondaires de la radiothérapie. Un proche m’a suggéré d’essayer l’huile de cannabidiol (CBD) pour traiter mon cancer, et j’en prends régulièrement depuis. Je suis aux anges avec la réduction de mon cancer, que je crois due à l’huile CBD. Je la tolère très bien et j’ai l’intention de suivre ce traitement indéfiniment. »
-
Cannabis au volantil y a 2 semaines
Les consommateurs réguliers de cannabis ne présentent aucune altération de leurs capacités de conduite, selon une nouvelle étude
-
Cannabis en Franceil y a 3 semaines
Cannabis médical : la France légalise enfin !
-
Businessil y a 3 semaines
New York célèbre les cinq ans de la légalisation du cannabis avec 3,3 milliards de dollars de chiffre d’affaires
-
Cannabis en Franceil y a 4 semaines
Le ministère de l’Intérieur veut intensifier la répression contre les consommateurs de cannabis
-
Cannabis en Allemagneil y a 3 semaines
Rapport EKOCAN : la légalisation du cannabis en Allemagne fonctionne… mais pas comme les législateurs l’avaient prévu
-
Cannabis en Franceil y a 2 semaines
La France prolonge l’accès expérimental au cannabis médical jusqu’en 2027
-
Cannabis en Franceil y a 3 semaines
7 tonnes de cannabis à Paris : l’ancien patron de l’OCRTIS condamné à un an de prison avec sursis
-
Cannabis en Franceil y a 4 semaines
Cann’Agri Expo 2026 : Nantes confirme son rôle central dans la filière chanvre CBD





Vous devez être connectés pour poster un commentaire Connexion